Spinal Tumors
Spinal (vertebral) tumors are either Primary (arising from the vertebra itself) or Secondary/Metastatic (arising from a location other than the spinal column) and can cause either neurological symptoms and/or spinal instability that results in pain and can also cause paralysis from spinal cord compression from tumor or collapse of the spinal column.
They may require multiple modes or combinations of treatment that include surgery, radiation and chemotherapy. Surgical treatment may be limited with laminectomy or major reconstruction depending on the specific situation. Dr Johnson has extensive experience treating these highly variable disorders and had developed many currently used technologies and procedures currently used.


Publications:
Villavicencio AT, Oskouian R, Roberson FC, Stokes JK, Park J and Johnson JP: Thoracolumbar vertebral reconstruction of metastatic spinal tumors: long-term outcomes. Neurosurg Focus 19(3):E8, September 2005.
Park J, Johnson JP: Thoracolumbar reconstruction for metastatic spine tumors. Neurosurgery 47(2):530-532, 2000
Fineman I, Johnson JP, Sandhu H: Renal failure and brown tumors in the spine. Journal of Neurosurgery:Spine 90(4):242-246, April 1999.
Johnson JP, Paré LS, Torres RA: Thoracolumbar body replacement: materials and techniques. Contemporary Neurosurgery 20(6):1-9, March 1998.
Spinal Cord Tumor and Spinal Tumor Surgery
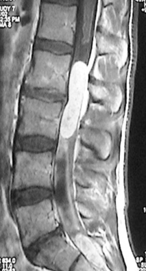
Spinal tumors involving the spinal column, spinal cord and nerves are uncommon disorders and few centers have experience for these typically complex problems. The most common types of nerve and spinal cord tumors are astrocytomas, ependymomas, schwannomas, and meningiomas. Other tumors involving the spinal column are metastatic tumors, sarcomas, chordomas and an array of rare pathologies.
The treatment of these cases are either involving delicate microsurgery of the nerves and spinal cord or complex reconstruction of the spinal column if there is spinal instability from spinal tumors causing destruction of the spinal column. Some cases will require both microsurgery and reconstruction and Dr Johnson has some of the most experience in the Western US in all aspects of these problems.


Publications:
Drazin D, Johnson JP et al World Journal of Oncology 2011
Ghostine S, Perry E, Vaynman S, Raghavan R, Tong KA, Samudrala S, Johnson JP, Colohan ART: The Rare Case of an Intramedullary Cervical Spinal Cord Teratoma in an Elderly Adult: Case Report and Literature Review. Spine,15;34(26):E973-8, 2009.
Park J, Johnson JP: Thoracolumbar reconstruction for metastatic spine tumors. Neurosurgery 47(2):530-532, 2000
Fineman I, Johnson JP, Sandhu H: Renal failure and brown tumors in the spine. Journal of Neurosurgery:Spine 90(4):242-246, April 1999

